الرئيسية
من نحن
الخدمات
خدمات الأسنان
ابتسامة هوليوود
جراحات وخلع الأسنان
زراعة الأسنان
العلاجات السنية
تقويم الأسنان
جراحة اللثة
تبييض الأسنان
علاج الجذور
تنظيف الاسنان
علاج أسنان الأطفال
تركيبات الأسنان
ليزر الأسنان
عروض الأسنان في مجمع ماريز
المقالات الطبية
تواصل معنا
Menu
الرئيسية
من نحن
الخدمات
خدمات الأسنان
ابتسامة هوليوود
جراحات وخلع الأسنان
زراعة الأسنان
العلاجات السنية
تقويم الأسنان
جراحة اللثة
تبييض الأسنان
علاج الجذور
تنظيف الاسنان
علاج أسنان الأطفال
تركيبات الأسنان
ليزر الأسنان
عروض الأسنان في مجمع ماريز
المقالات الطبية
تواصل معنا
احجز موعد الآن
احجز موعد الآن
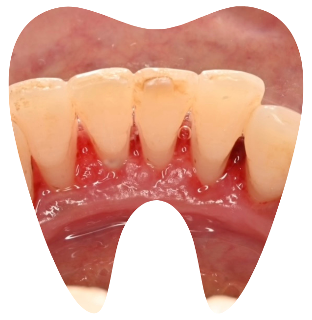
After
Before
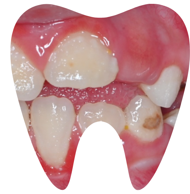
After
Before
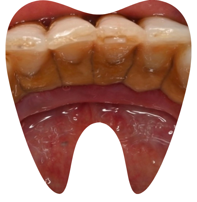
After
Before
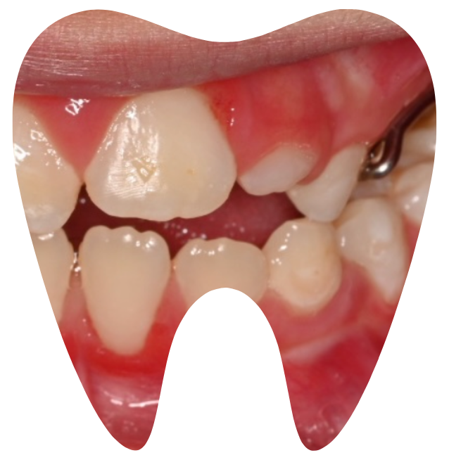
After
Before
After
Before
After
Before
After
Before
After
Before
After
Before
After
Before
After
Before
احجز موعد
وتواصل الآن بسهولة
يرجى ملء النموذج أدناه وسنحدد موعدًا لك، أو يمكنك فقط الاتصال بمقرنا وتحديد وقتك عن طريق المكالمة.
Home
Call Us
Shop
Contact